만 60세 이상이 되면 기억력이 전과 같지 않다는 것을 느끼게 됩니다. 요즘 실종 문자도 많이 오는 걸 보니 치매 발생 비율이 높아진 게 아닌가 걱정이 되기도 합니다. 그래서 정부는 미리 치매조기검진사업을 운영하면서 치매조기검진을 받도록 권유하고 있는데요.
조금이라도 의심스러운 증상이 나타난다면 가까운 보건소에 가셔서 무료 검진 받아보세요. 치매를 빨리 발견하여 치료하면 치매 증상을 좋아지게 하거나 심해지는 것을 늦출 수 있습니다. 그럼 오늘은 치매조기검진에 대한 검사 방법과 무료 지원에 대해서 자세히 알려드릴게요.

#목 차
1. 치매 검사는 어디서? (ft. 보건소, 치매안심센터)
2. 치매 검사방법 및 무료 지원
1. 치매검사 어디서?
치매검사는 보건소나, 치매안심센터를 방문하셔서 검사받으시면 되는데요. 거주지 근처 보건소에 방문하시면 자세한 설명과 무료 검진까지 가능하니 가까운 보건소를 조회하셔서 방문해 보세요.
또한 서울시 광역치매센터에서는 홈페이지에서 온라인 치매검사도 운영하고 있으니 가시기 전에 미리 온라인 검진을 받아보세요. 자녀들이 부모님 치매검사도 간략하게 검사 가능합니다.
2. 치매검사 검사방법 및 무료 지원
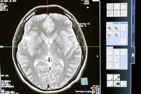
보건소에 방문하시면 아래와 같이 검사과정을 거치게 됩니다. 1단계 인지선별검사에서 저하된 걸로 나오면 2단계 진단검사를 받게 되는데, 전문의 진료와 신경심리검사, 일상생활 척도검사 등을 진행하게 됩니다. 진단검사에서도 치매의심이 나오게 되면 3단계 감별검사를 받도록 권유합니다. 혈액 검사, 요검사, 뇌 영상 촬영 등을 통해 보다 확실하게 진단할 수 있는 검사입니다.
- 검사대상: 만 60세 이상
- 검사방법
| 단계 | 검사방법 | 위치 | 검사비용 |
| 1단계 | 인지선별검사(CIST) | 보건소 치매안심센터 | 무료 |
| 2단계 | 진단검사(신경심리검사, 전문의 진료 등) | 보건소 치매안심센터 | 지차체마다 소득기준에 따라 검사비용이 상이함 |
| 3단계 | 감별검사(혈액 검사, 요검사, 뇌 영상 촬영 등) | 지자체 협약병원 | 지차체마다 소득기준에 따라 검사비용이 상이함 |
검사비용은 지자체마다 소득기준에 따라 검사비용이 상이하니 거주지 보건소에서 꼭 확인해 보시기 바랍니다.
![]() |
![]() |
![]() |
'복지지원정책' 카테고리의 다른 글
| 탄소중립포인트 가입 후 스타벅스, 편의점, 이마트 포인트 적립 받기 (0) | 2023.11.19 |
|---|---|
| 난방비 지원 에너지바우처 잔액조회, 지원대상, 지원금액 알아보기 (0) | 2023.11.16 |
| 추석연휴, 설날, 주말, 공휴일 문여는 병원, 약국 찾기 확인 방법 (0) | 2023.09.24 |
| 2023년 성남시 독감예방 무료접종 알아보기 (1) | 2023.09.09 |
| 근로장려금 신청자격, 지급일 및 지급대상자 확인하기 (0) | 2023.08.28 |




